Cosmetic Dentistry
Restorative Dentistry
Implant Dentistry
Hollywood smiles in Turkey are no longer built for people in Hollywood. In the past it was something only the super-wealthy could afford–but in Turkey everyone can get it with an affordable price.
Hollywood smile is also known as the perfect smile, it has been a popular trend for a long time. Everyone is crazy about the fact that you can transform how you look and smile.
Those perfectly aligned teeth are what has made it popular, it offers symmetry, and above all a social symbol for being beautiful and wealthy.
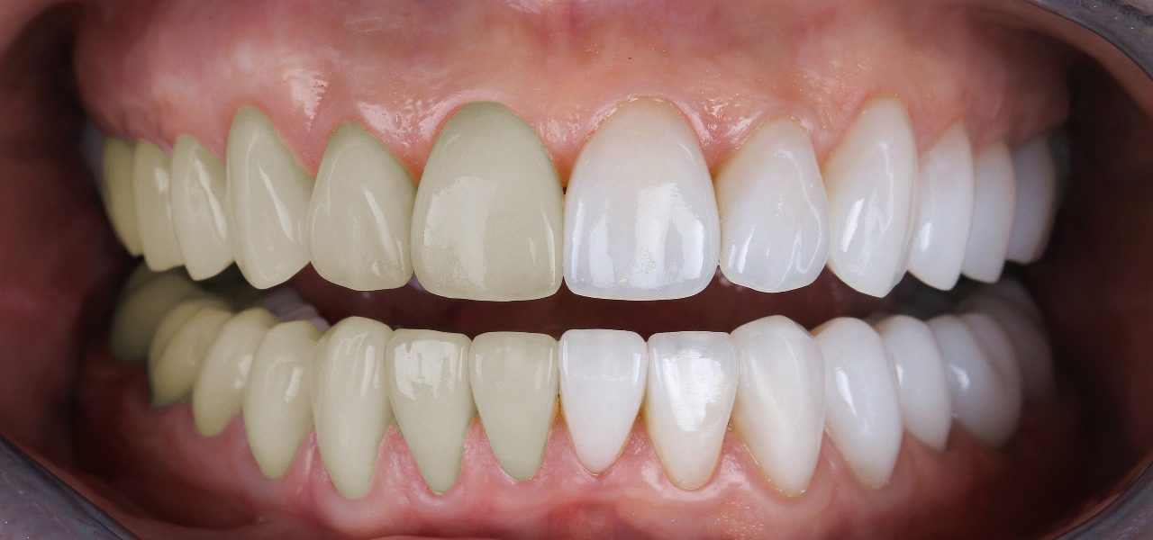
Hollywood smile is a smile procedure aiming to deliver an ever-lasting bright smile. It involves a series of advanced dentistry techniques that give you a smile transformation by solving problems like misalignment, and discoloration.
Let’s explore the techniques used, and the time of the process, cost, and what should you be aware of before you start your smile makeover journey.
Let us begin by exploring what techniques are used to get your Hollywood smile.
Your doctor will have to assess the situation, getting the needed scans, and 3d imaging of your jaw to identify areas of focus.
That is so he can fix all the aesthetic issues related to your smile, different techniques are always dependent on your case.
The most prominent and commonly used dentistry techniques to get your Hollywood smile are
These are all roads that lead to Rome, what method is used will depend on your doctor’s advice according to your situation, and the cost.

Do not be fooled there isn’t only one type of veneer to go with there are multiple such as; porcelain veneers,lumineers, and composite resin veneers. Each of those different types has pros and cons, reasons to install, and most importantly quality and price difference.
Veneers aren’t just for aesthetics; they can solve a range of issues such as gaps between the teeth,chipping,stains, or crooked teeth.
Lets explore what cases would be optimal for these different types of veneers;
Porcelain veneers → They require the removal of the enamel layer by filing your teeth down– that provides room for the veneers to be placed on top of your teeth (Permanent option)
Lumineers→ Can be placed directly on your teeth because of them being thinner. (Safer option)
Composite resin veneers → Are made of the same materials as dental filings and can be tricky to shape, this is why they are recommended under special circumstances. (Tricky option)

Dental Crowns are necessary if you have seriously damaged teeth. The tooth is filed down during the preparation phase to allow the placement of a crown. This solution restores both functionality of the tooth and aesthetics, helping you achieve a white natural looking smile.

Dental Implants are used to replace broken or severely damaged teeth. If you have a missing tooth– Implants then are used to fill the gap and perform as good as your natural one did.

Gum contouring is when you do not have enough gum coverage or density on your teeth. Excessive gum tissue can be another aesthetic problem, so the solution here is to have enough gum.
Receding gums can affect your oral health. Depending on your condition Receding or Excessive, your dentist will reshape your gums to achieve the most aesthetically look on you.

Teeth whitening is vital when it comes to getting your Hollywood smile procedure, as it is one of the most efficient procedures to get that result. Teeth whitening treats any discolouration or stains in the teeth. Remember to always try to get a natural shade of white, as too white would look a bit odd.
Do not worry about thinking about the colour shade, your doctor will provide you with a colouring sample, you should try to pick a colour that has a natural bit of yellow in it.

Invisalign treatment is not as vital or problem solving as its peers from that list. It is an optional long-term procedure that is utilized to fix any misalignment of teeth.
You will be provided with a clear tray for you to wear for at least 22 hours of the day. (Braces but without the discomfort of permanently wearing them.)
They help and set you up for further procedures, as they target setting your teeth in their normal position and straightening them.
If you’re curious about finding out how long does this process take, we’ll dive into a worm-hole breaking down to you the expected time to get your new DAZZLING SMILE.
How Long Does the Hollywood Smile Process Take?
Hollywood smile procedures differ from one patient to another, hence the length of it is planned with your doctor or consultant. That is why its hard to set a deadline. It’s not an all-size-fits all procedure.
However at CemBaysal Clinic we normally provide a timeline of 6 nights, 7 day treatment that works well for most patients.
We also like to be a bit more patient with the process to allow you to enjoy Turkey, while you can. You already made the big move, which was coming might as well enjoy as much as you can!
To break it down even more to you;
→Implants take around 1 day (Instant Straumann crowns ).
→ Teeth whitening takes around → 2-3 days to finalize.
→ Invisalign → 6-12/mos depends on the case.
→Veneers → 5-7 days
Teeth whitening is the obvious winner here. When it comes to the quickest way around the Hollywood smile. Dental Veneers are the champions if you have the budget and time.
But are you suitable to under-go these procedures immediately?
Am I Suitable for the Hollywood Smile Procedure?
Hollywood smiles have no categories that you have to check. It is a procedure where the dentist chooses the best and most suitable technique for you and your health.
Veneers,crowns, require a health base to be successfully placed. Implants require a good solid bone structure.
So, if you don’t check out on one category, your dentist will navigate you to the other one
Myth: These operations are obviously tedious and have complications for senior citizens.
If you want to know the truth you best read the next section.
There is no such thing as a fixed age to getting a Hollywood smile makeover. The time will depend more on your oral health itself. As long as your teeth and gums are in a good condition, and your bone structure is fit for treatments you are good to go.
Hollywood smile makeovers are suitable for anyone of any age group whether you’re; 20,40,60 or even beyond.
Myth: Hollywood smile procedures are very painful, you will not be able to enjoy your stay in Turkey.
The Hollywood painless smile procedures are minimally painful operations, but some might cause slight or very minor discomfort after the procedure.
Veneers,Crowns,Invisaligns,Teeth Whitening are non-invasive treatments which means you will only feel a heightened sense of sensitivity after the operations, but after some days everything will be back to normal.
What is non-invasive you might be curious about → It is any procedure that involves cutting,breaking or oral mucosa which is an invitation for your body’s anti-bodies to start working overtime.
Dental Implants are the only invasive procedure in the list and it’s natural because the doctors must penetrate the skin to install the dental implant.
These procedures can cause more discomfort after the surgery, and our doctors will recommend some painkillers to ease it up.
Myth: You’ll be in a hospital for god knows how long, to get better.
Truth: The only extra amount of time you’ll be staying, will be because you don’t want to leave turkey.
Hollywood smile aftercare is pretty standard, just like the ones you should have done, and you didn’t and that’s why you’re there.
Flushing and flossing are the two only things that you are required to pay attention to– as you’ll maintain your general oral hygiene.
Preferable to flush and floss twice per day, once in the morning, and once before bedtime.
Pro-tip: Most of these procedures last from 7-15 years depending on the materials used. Did you know that you can almost DOUBLE that amount by just taking care of oral health?
Myth: Turkey Hollywood smile makeover will cost you a fortune.
How Much Does a Hollywood Smile Cost in Turkey?
Hollywood smile makeovers typically cost in the UK around 1000-10,000£, while in turkey it costs £1,500 and £6,000.
The price difference isn’t because turkey is using cheaper materials, on the contrary UK and turkey use exactly the same materials.
However the All-Inclusive packages in Turkey include more;

The amount of teeth involved in a smile makeover depends on the style you’re picking and your cosmetic objectives.
Most people choose between 6 to 10 teeth on the upper arch, since these are the most noticeable when you smile or speak.
If you want a more enhanced apparel, some people decide to go all-in and include the same number of teeth on the lower arch, bringing the sum from 12-20.
Your dentist will assess your smile, bite, and gum to identify the optimal number of teeth that need treatment.
If you have a broader smile, you’ll likely need 8 to 10 veneers or crowns on each arch to achieve a natural and balanced appearance.

A mini smile makeover is a minor cosmetic treatment, rather than a full transformation.It may involve procedures such as teeth whitening, replacing worn fillings, slight contouring of the teeth, or placing a small set of veneers (commonly 4 to 6 on the front teeth).
This approach is ideal if you’re generally satisfied with your smile but wish to improve its brightness, alignment, or harmony without committing to extensive dental work.
The number of teeth needed for a smile makeover depends on the shape of your smile and your aesthetic goals. Most patients opt for 6 to 10 teeth on the upper jaw, as these are the most visible when you smile or talk. For a more balanced and symmetrical result, some patients also choose to treat the same number of teeth on the lower jaw, making it 12-20.
Your dentist will assess your smile line, bite, and gum exposure to determine the ideal number of teeth to treat. If you have a wider smile, you will probably need 8 to 10 veneers or crowns per jaw to achieve a natural and harmonious look.
its brightness, alignment, or symmetry without undergoing major dental work.
Yes, they are safe when performed by an experienced dentist with enough chair time.
Smile make over is a safe and widely loved dental procedure. The techniques that are involved have been used for decades with millions to vouch for it.
CemBaysal Clinic prioritizes the patient’s safety above all. All treatments are operated under strict hygiene protocols using the best equipment.
A Hollywood smile isn’t only a cosmetic procedure,it’s an investment in your confidence and oral health.
Ready to start your smile transformation, contact us now.