Porcelain Bonded Bridge

What is a Porcelain Bonded Bridge? 

A porcelain-bonded bridge is an advanced dental solution for replacing one or more missing teeth. Unlike traditional bridges that rely on healthy surrounding teeth for support, porcelain bonded bridges are fixed securely onto neighboring teeth or dental implants, restoring both functionality and aesthetics. These bridges mimic the natural appearance of teeth, ensuring a seamless and beautiful smile.

Structure of a Porcelain Bonded Bridge 

  • Porcelain Material: Premium porcelain closely resembles the appearance of natural teeth.
  • Support: The bridge is securely bonded to neighboring teeth or implants, offering a stable and functional solution.
  • Aesthetic: The translucency of porcelain matches the enamel of natural teeth for a realistic look.

Functionality of a Porcelain Bonded Bridge

Porcelain bonded bridges provide a stable foundation for eating, speaking, and smiling with confidence. They help prevent further tooth loss and support the jawbone structure by stimulating natural bone growth.

Aesthetic and Comfort Benefits

With porcelain's ability to reflect light like natural enamel, these bridges offer both beauty and comfort. Each crown is custom-made for a perfect fit, blending seamlessly with your natural teeth.

Porcelain Bonded Bridge

Benefits of Getting a Porcelain Bonded Bridge in Türkiye 

Türkiye has emerged as a top destination for dental tourism, offering high-quality care at a fraction of the cost. Here are the key benefits of choosing a porcelain bonded bridge in Turkey:

  1. Natural Look
    Porcelain closely resembles natural teeth, ensuring your bridge blends perfectly with your smile.
  2. Long-Lasting Durability
    Porcelain is a strong and durable material, offering lasting functionality and peace of mind.
  3. Affordable Prices
    Dental treatments in Türkiye, including porcelain bonded bridges, are significantly less expensive compared to the UK, the US, and Europe, without sacrificing quality.
  4. Expert Care by Dr. Cem Baysal
    Dr. Cem Baysal utilizes advanced techniques and materials to create porcelain bonded bridges with exceptional precision, ensuring both aesthetic appeal and lasting results.
  5. Customized Treatment Plans
    Each patient’s needs are thoroughly evaluated, and personalized treatment plans are crafted for the best results.

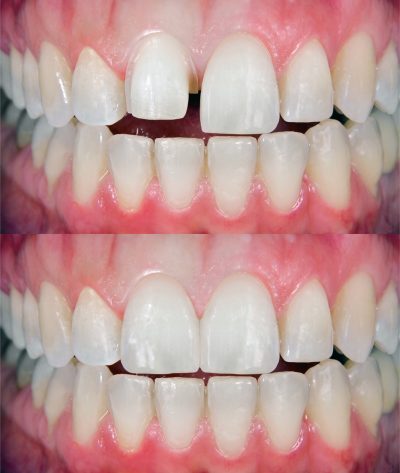
Porcelain Bonded Bridge Before and After 

The transformation with a porcelain bonded bridge is remarkable. Patients often experience improved function, comfort, and self-esteem.

Before Treatment

  • Gaps in the smile due to missing teeth.
  • Difficulty chewing, speaking, and discomfort.
  • Jawbone deterioration affecting facial structure.

After Treatment

  • A complete, natural-looking smile.
  • Restored functionality for eating, speaking, and smiling.
  • A stable foundation that prevents further bone loss.
bonded non precious crown

Why Choose Dr. Cem Baysal for Your Porcelain Bonded Bridge? 

Dr. Cem Baysal is a highly regarded expert in cosmetic and restorative dentistry, making him the perfect choice for porcelain bonded bridges in Turkey.

  1. Expert in Cosmetic Dentistry
    Dr. Baysal’s extensive experience in porcelain bonded bridges ensures superior outcomes for every patient.
  2. Personalized Care
    Each patient receives a tailored treatment plan, ensuring a customized, precise result.
  3. Proven Success
    Thousands of satisfied patients from around the world trust Dr. Baysal for their porcelain bonded bridges. His clinic is renowned for its exceptional patient-centered approach and high-quality results.
celebrity dental makeovers

Porcelain Bonded Bridges in Istanbul – A Leading Dental Tourism Hub 

Istanbul is not only famous for its rich history and culture, but also for offering world-class dental care, including porcelain bonded bridges.

The Allure of Istanbul 

Patients visit Istanbul for its renowned dental treatments, while also experiencing the city’s iconic landmarks like the Hagia Sophia and the Bosphorus Strait.

Convenient Travel and Accommodation 

With easy access to international flights and excellent accommodation options, Istanbul makes dental tourism a stress-free experience.

Easy Access to Dr. Cem Baysal’s Clinic 

Dr. Baysal’s centrally located clinic offers a seamless, comfortable experience for international patients.

Cost of a Porcelain Bonded Bridge in Türkiye 

One of the key advantages of choosing Turkey for dental treatments is the cost savings.

  1. Affordable Yet High-Quality Care
  • Türkiye: £400 - £900 per porcelain bonded bridge.
  • UK/USA: £1,500 - £2,500 per porcelain bonded bridge.
  • Savings: Up to 70% savings without compromising on quality.
  1. Transparent Pricing
    Dr. Baysal’s clinic offers upfront pricing with no hidden fees, so patients know the full cost before starting treatment.

Treatment

Material/ Procedure

Price (€)

Dental Crowns

Porcelain

400

Zirconia

450

PFM Crowns

Shoulder Preparation PFM

240

PFM Crowns with Gum Porcelain

295

Book Your Consultation with Dr. Cem Baysal Today!

Transform your smile with a porcelain bonded bridge in Türkiye. Schedule your consultation with Dr. Cem Baysal today for affordable, high-quality dental care!