IMPLANT DENTISTRY
DENTAL CROWNS
DENTAL BRIDGES
Root Canal
SMILE AESTHETICS
Dental Veneers

IMPLANT DENTISTRY
DENTAL CROWNS
DENTAL BRIDGES
Root Canal
SMILE AESTHETICS
Dental Veneers



Your daily habits are the reason your smile makeover is more difficult, and you will lack confidence. Daily routines that include frequent coffee and tea consumption. Smoking is a culprit as well, so when you combine all three of those, do not be surprised that your teeth will look like that.
Tartar, plaque and enamel discolouration are small issues that do not pose an immediate health risk. If left untreated, they can lead to periodontal disease, tooth decay, or tooth loss.
Oral hygiene is essential; if you underestimate it, you will lose half your teeth by age 45.
Good oral hygiene promotes a healthy, beautiful smile, fresh breath, and strong teeth and gums by preventing tooth decay and periodontal diseases.
Under all circumstances, we do not advise the use of DIY kits or any unconventional remedies such as lemon, baking powder, and other oddities, as these severely harm tooth enamel.
Plaque is a layer of colourless bacteria that builds up on your teeth. If left without care, it will harden into tartar and cause your gums to swell and bleed, which are early signs of periodontal disease.
Since this is only the first phase of acquiring Tartar on your teeth and gums, the remedies are quite easy;
Let us assume that you left all that bacteria piled up on your teeth and gums. What would happen?
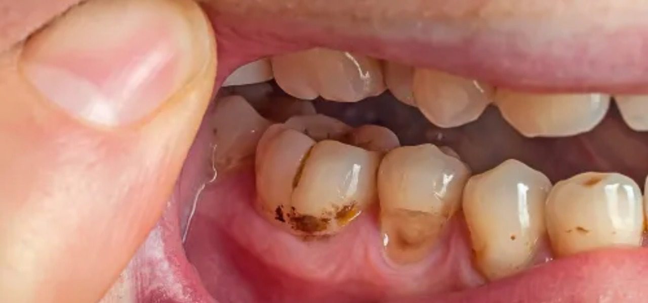
Tartar, also called calculus, is plaque that has hardened on your teeth. Tartar can also accumulate beneath the gumline and irritate the gum tissues. Tartar provides plaque with more surface area to adhere to and grow, which can lead to more severe conditions, such as cavities and periodontal disease.
It is like an invitation to tooth loss, only it worsens every day. It’s not treated or managed.
This is the second phase, and it is more difficult to remove tartar immediately. The treatment of tartar requires greater dedication.
reduce smoking, coffee, black tea, and alcohol, which stain and encourage tartar.
If you follow through with these remedies, you will have a good chance of stopping the growth of tartar, and in time, you could get rid of 70-80% of the tartar.
We’ve discussed plaque and tartar, and we’ll go through what enamel discolouration is and some of the quick remedies around it.
Enamel discolouration is when the tooth’s colour changes from white to yellowish, and it can be linked to multiple causes. Stain agents such as coffee, tea, and tobacco, or age. There are three main reasons for the discolouration;
What it does: (with mild abrasives and peroxide) → helps with surface stains.
What it does: containing hydrogen peroxide → gradual stain removal.
Examples: coffee, tea, red wine, and soda.
What it does: prevents further staining.
What it does: prevents buildup that traps stains.
What is the real difference between at-home remedies and in-Clinic Care, and which should we choose?
Professional plaque, tartar, or enamel discolouration treatments in Turkey are very popular because they are more affordable and are often superior to those provided by government hospitals.
We’ll examine how professional dentists navigate oral issues.
There are numerous toothpastes and lotions that can help you get rid of plaque, but there are areas that are hard to reach in your oral cavity, and those areas are where the residues of the food you have eaten in your day are.
This process is continuous, and bacteria and saliva interact, leading to plaque formation even at night.
The professional plaque removal process is a simple one, and it has simple aspects such as;
The average cost of plaque removal in the UK ranges from £25 to £85, whereas in Turkey it is estimated at around £35- £50.
Plaque removal is quite cheap due to its ease of extraction, as it is a thin layer that hasn’t fully developed, while tartar removal is more complex due to the surface area covered.
Tartar (also called calculus) is hardened plaque that cannot be removed by at-home brushing or flossing. Once it mineralises, it bonds tightly to enamel and gum surfaces, making professional removal essential.
Steps to remove tartar professionally with a dentist;
The average cost of tartar removal in the UK is £50-£150, whereas in Turkey it is £25-£85.
These are the steps a dentist will take to remove tartar. While they may appear tedious, if your case is not severe, it will be completed in less than 30 minutes.
Now that we’ve explored tartar treatments, it is time to find out more about what we can do professionally about our enamel discolouration.
Enamel, the hard outer surface of your teeth, can change colour due to two main reasons:
Unlike tartar, discolouration may be partially managed at home, but persistent or internal stains often require professional treatment.
The average cost to fix Enamel Discolouration in the UK is £200–£600, while in Turkey it costs around £100 and £400
We’ve compiled a list of the early signs that typically indicate the need to visit the dentist.
Let us explore them, as we can clearly determine when and why we should seek professional help.
Plaque is the earliest stage of dental plaque buildup, and detecting it early prevents it from progressing to tartar. Common warning signs include:
Tartar is a hardened plaque; once it forms, it typically requires professional removal. Signs you might have tartar include:
Enamel discolouration can be cosmetic but may also indicate underlying issues. Signs include:
Addressing plaque, tartar, and enamel discolouration early prevents more severe oral issues later on. Exploring them professionally or at home is your choice, but doing nothing at all is not advisable.
We would recommend the clinical ones, as the price difference is not so big compared to other dental products
If you’re considering dental cleaning or whitening in Turkey, we’ve got you covered.
