Turkey Teeth Veneers Before and After

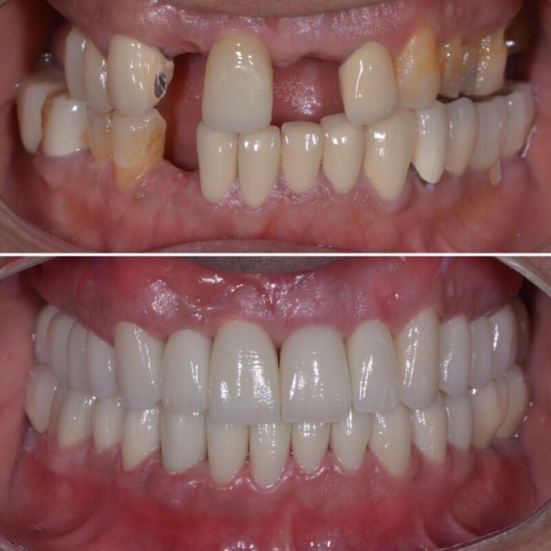
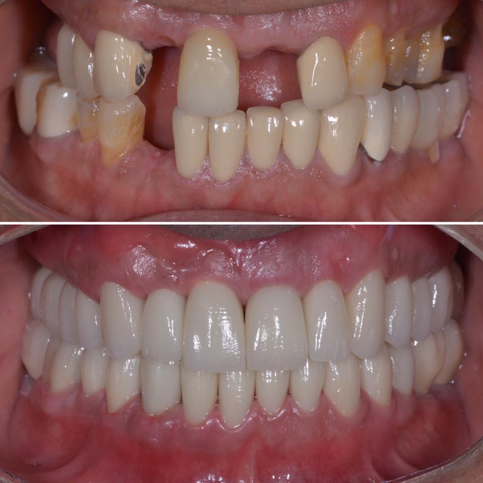
Turkey Teeth Crowns Before and After

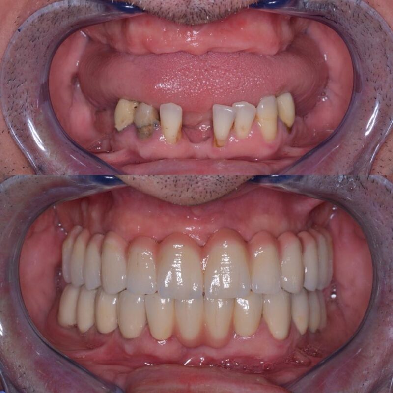
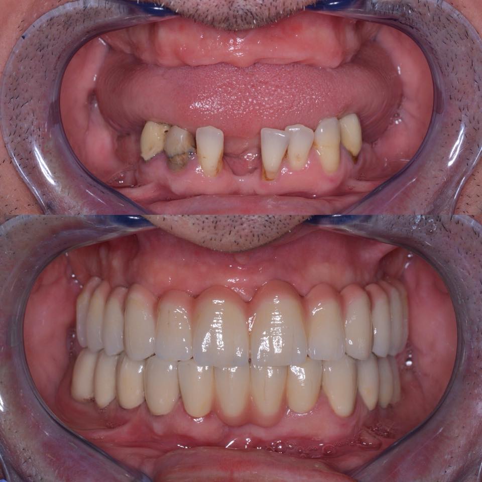
Turkey Teeth Implants Before and After



The successful results of turkey teeth Before & After

 

These photos showcase the before-and-after results of dental treatments by Dr Cem Baysal, highlighting the transformation of Turkish teeth. With quality and standards as our top priorities, we aim to renew your smile to a healthy and beautiful one, without incurring high costs, hidden fees, or side effects.

Smile makeovers, dental implants, dental bridges, teeth whitening, root canal treatment, and crown or veneer placement in different materials ensure you always have the right and most suitable choice for your smile, depending on your case. We offer a consultation and a pre-treatment process to achieve the best and healthiest results.

Boost your confidence and safeguard your health with a skilled and trained staff in an equipped and licensed clinic. Our commitment is to combine advanced technology with personalised care, so every treatment is comfortable, practical, and designed to last.